top of page
Pacientes tratados en NA Ortho
Invisalign Adultos

Patient Before Invisalign
Adult patient with flaring, protrusion and open bite in patient before Invisalign at NA Orthodontics

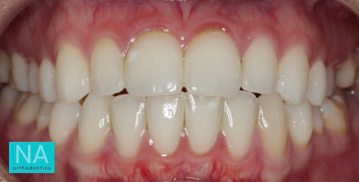
Patient After Invisalign
After Invisalign at NA Orthodontics, open bite is closed, flaring and protrusion are reduced, ideal overbite and overjet achieved.

Profile before Invisalign
Before Invisalign at NA Orthodontics, patient was not happy with her profile. She felt she was too protruded and had to force her lips closed at rest.

Profile after reducing flaring with Invisalign
After Invisalign at NA Orthodontics, patient's goals of reducing protrusion and an ideal profile with no strain at rest were achieved.


bottom of page